摘要:该猫为一只约1岁左右的流浪猫,身上有肿物,通过血常规、影像学、细胞学、病理组织学检查,确诊为癣菌性假足菌肿病例。手术切除肿物后,口服汉肤欣(伊曲康唑口服液),搭配抗细菌药和外用药,以控制感染,一周后即有新生毛发长出,后期恢复良好。
作者简介:林东汶 医生(广州它它宠医)

一、病例概述

1.1 基本信息:刚捡来普通流浪家猫,雄性,未去势,3kg,1岁左右
1.2 主诉病史:为楼下小区里的流浪猫,看到身上有肿物,其他情况不明
二、临床诊断

2.1 临床体况检查结果:
精神一般,bcs3/9,未见明显眼鼻分泌物,黏膜颜色粉红,CRT<2s,听诊心肺尚可,触诊腹部尚可,体表淋巴结未见明显肿大,被毛粗糙,身上多处肿块伴随破裂有渗出,多处掉毛、结痂、破溃、瘘管。
2.2 实验室检查结果:
2.2.1 血常规:

2.2.2 生化:

2.2.3 二合一测试板:

2.2.4 DR:


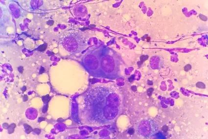
2.2.5 显微镜直接镜检:
未见明显寄生虫,休止期毛发为主,朽木样毛发+++;染色:退行性中性粒细胞+++,巨噬细胞++,多核巨细胞++,上皮样细胞+,红细胞+++,可见多核巨细胞以及上皮样细胞吞噬真菌菌体






2.2.6 woods:阳性

2.2.7 一周后病理结果:癣菌性假足菌肿

2.3 数据分析:血常规:轻度贫血,炎症较多厉害。生化:整体尚可。二合一:阴性。DR:心脏轮廓尚可,肺部纹理尚可,胸廓无明显异常。细胞学:提示肉芽肿性变化,同时真菌感染。
三、治疗方案

3.1 外科切除较大肿物送检
3.2 口服汉肤欣(伊曲康唑)一日一次,5mg/kg
3.3 四周、皮下注射抗生素
3.4 局部擦拭洗必泰一日两次
3.5 口服不饱和脂肪酸
3.6 外用皮毛营养剂,一周一次
3.7 使用常规广谱体内外驱虫药
3.8 住院护理,补充高蛋白品质好食物
四、治疗结果 4.1初诊:可见瘘管有黄色颗粒渗出物 左眼上方肿物 身上多处瘘管 瘘管渗出物置于玻片呈黄色颗粒状 4.2术后: 4.3术后一周:复查相关指标:血常规指标恢复正常,身上掉毛处可见一些新生毛发,头部恢复尚可 4.4后期复诊:患猫恢复良好,身上毛发均有长出 五、讨论与小结 5.1 皮肤癣菌假足菌肿是一种罕见的皮肤癣菌感染,该病主要由犬小孢子菌引起,出现在不典型真皮层,结节同时可能出现溃疡以及伴有瘘管形成和流出带有颗粒的脓液,组织病理特征性表现为真菌菌丝形成的假性颗粒结构,常见于猫。 5.2 治疗以手术切除较大肿块,配合口服抗真菌药物,增强身体抵抗力,皮肤营养,以及排除一些系统性、免疫抑制性疾病。较普通真菌感染治疗周期长,而且会有复发的可能性。需要主人信任,密切配合。 5.3 目前该猫皮肤情况良好,暂时未见复发情况。








汉维汉肤欣(伊曲康唑口服液)——国内第一个正规批文的猫专用抗真菌的樱桃风味的经济安全型口服液!
![]() |